MEDICAL診療案内呼吸器科

長引く咳や鼻水、呼吸の異常などでお困りの方は、心臓病に起因する呼吸器症状もありますので、お気軽にご相談ください。
呼吸器科専門診療の経験を持つ獣医師が検査を行い、病気や治療法について詳しくご説明いたします。

このような症状はありませんか?

  • いつもより呼吸が早い。

  • いびきがひどくなった。

  • 浅い呼吸をしている。

  • 興奮すると咳が出る。

  • くしゃみや鼻水が多い。

  • 朝方咳が出て、なかなかおさまらない。

  • 息を吸う時に音がする。

  • お散歩や運動を嫌がるようになった。

これらの症状はあくまでも典型的な症状です。
他にも気になる症状があれば、お早めにご相談ください。

わんちゃんや猫ちゃんは病院に来ると緊張するため、診察中に症状を見せません。
咳や呼吸音の異常、睡眠時のいびきや気になる仕草などは、日頃から動画を撮影し診察時に見せて頂けると大変助かります。

セカンドオピニオンをご希望の方へ

セカンドオピニオンをご希望の方は、問診や検査結果の説明に充分な時間が必要になります。そのため、出来る限り午後の予約をお取りください。
過去の検査データや服用しているお薬をお持ちください。

呼吸器科の疾患症例

  • 慢性気管支炎
  • 短頭種気道症候群
  • 呼吸器感染症
  • 気管気管支虚脱
  • 喉頭麻痺
  • 肺腫瘍
  • 急性呼吸窮迫症候群
  • 中皮腫
  • その他

呼吸器科の検査

各種検査を組み合わせて実施し、異常箇所にアプローチしていきます。

身体検査

聴診は非常に大切な検査です。肺音に異常がないか、また心臓にも異常な音が聴診されないか確認します。
また気管の刺激で咳が簡単に出るかを確認します。

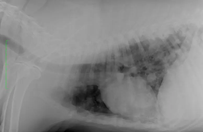
胸部レントゲン検査

肺野の異常の有無、気管および気管支の評価、胸郭や横隔膜の評価などを行います。

正常な犬の胸部
肺腫瘍(血管肉腫)の犬

超音波検査

肺表面の微細な病変や腫瘤病変の評価、細胞や液体の採取などができます。
肺血管肉腫の病変

遺伝子検査

犬の呼吸器疾患の原因となる病原体12種類をまとめて検査できます。猫の呼吸器疾患や結膜炎を引き起こす病原体6種類をまとめて検査できます。

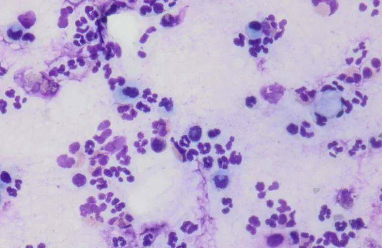
気管洗浄による細胞診検査/培養検査

気管および気管支内部の分泌液を集め取り、その中に含まれる細胞を検査したり、分泌液を培養検査に出すことで、呼吸器症状の原因を特定します。

全身麻酔が必要な検査です。

細胞診

内視鏡による喉頭観察

内視鏡を使って、喉頭の動きを観察します。喉頭麻痺や喉頭虚脱の評価ができます。

全身麻酔が必要な検査です。

喉頭観察

胸部CT検査

上記検査結果をふまえ、さらにCT撮影が必要と判断した場合には、外部機関をご紹介することがあります。CT検査は手術を検討するべき症例でお勧めすることがあります。

外科手術

軟口蓋切除術、鼻腔拡張術、肺葉切除術、鼻咽頭狭窄バルーン拡張術、鼻咽頭ポリープ切除術、気管腫瘍摘出術、永久気管瘻形成術、披裂軟骨側方化術、他

ご予約はお電話・WEBまたは
受付でお受けしております

TEL.045-594-7070
WEB予約

午前の診療は予約の必要はありませんが、時間に余裕を持ってお越しください。
また、救急の場合は午後でも優先して診察しますが、一度お電話ください。

※当院は犬猫専門の病院ですので、他の動物は診察しておりません。

こちらもご覧ください

動物ナビで商品をご購入されるの
必要なコードは当院にお問い合わせください。

Tel.045-594-7070
オンラインストア 動物ナビへ